중추체위안진(central positional nystagmus)은 뇌간이나 소뇌의 전정네트워크(vestibular network)의 손상으로 인해 발생한다. 대부분의 중추체위안진 환자들은 소뇌나 교뇌의 병변을 보인다. 따라서 실제 임상적인 관점에서 보면, 중추체위안진이 관찰될 때 전정기관(이석기관과 반고리관), 뇌간전정핵(brainstem vestibular nuclei), 소뇌 벌레(vermis) 내의 정중소뇌구조물(midline cerebellar structures) 간의 교통망을 포함하는 후두개와(posterior fossa) 병변을 의심해야 한다[1]. 본 저자들은 치아핵(dentate nucleus)의 국소 뇌경색에서 발현된 중추체위안진을 경험하였기에 이를 보고한다.
증 례
당뇨와 만성신부전을 가진 47세 남자가 내원 3일 전 아침에 일어났을 때부터 급성현기증(vertigo)을 경험하였다. 현기증은 오심을 동반하였고 청각증상은 없었다. 두부 외상이나 이전에 현기증의 병력은 없었다. 환자는 가만히 누워있을 때는 어지럼이 없었으나 눕거나 앉을 때 주위가 돌아가는 듯한 어지럼과 함께 오심이 발생한다고 호소하였다.
진찰 상 Frenzel안경으로 시고정을 없애자 우측으로 향하는 자발 안진이 나타났다. 주시유발안진(gaze-evoked nystagmus)이나 주기 교대안진(periodic alternating nystagmus)은 나타나지 않았다. 도리질검사(head-shaking test)에서도 안진이 나타나지 않았다. 양측으로의 머리회전검사(head-turning test)에서 잠복기 없이 우측으로의 수평안진이 발생하여 15-20초간 지속되었다. 우측 Dix-Hallpike수기 후에 우측으로의 수평안진이 발생하였고, 좌측 Dix-Hallpike수기 후에는 좌측으로의 수평안진이 발생하였다. 바로눕기검사(lying-down test)에서 잠복기 없이 반시계 방향의 회선상방안진이 발생하여 자세를 유지하는 동안 지속되었다. 환자에게 구음장애나 복시, 스큐편위, 주시장애, 사지의 위약, 측정이상(dysmetria), 감각이상은 없었다. 우측으로 쏠리는 경향은 있었지만, 도움 없이 보행할 수 있었다. 다른 신경계진찰도 정상 소견을 보였다.
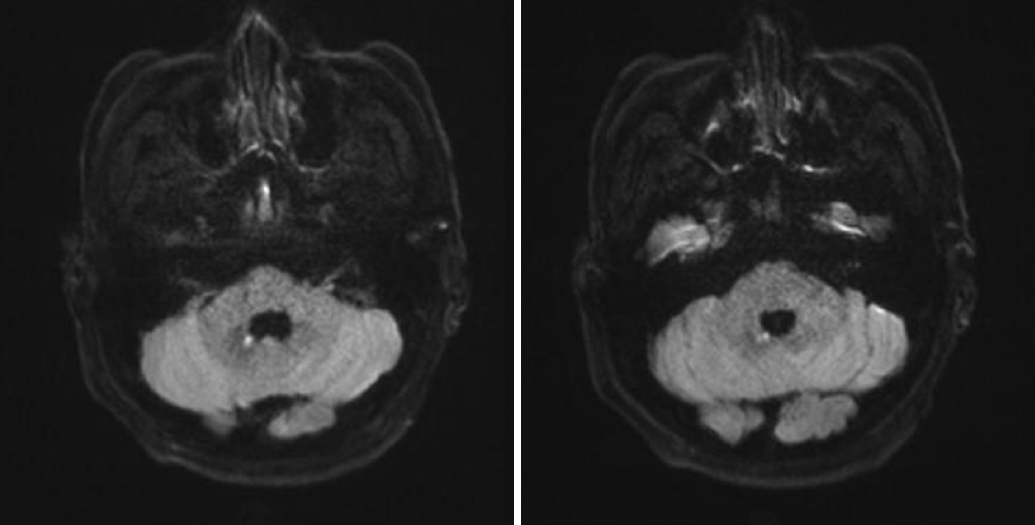
3차원 비디오안구운동검사(video-oculography) (SMI, Teltow, Germany; resolution of 0.1º, a sampling rate of 60 Hz)에서 우측으로의 자발안진이 관찰되었다(Fig. 1-A). Dix-Hallpike검사에서는 방향변화땅방향수평안진을 나타냈다. 우측 Dix-Hallpike검사에서 환자는 우측으로의 수평안진을 보였고(Fig. 1-B), 좌측 Dix-Hallpike 검사에서는 회선상방 성분과 함께 좌측으로의 수평안진을 보였다(Fig. 1-C). 양측에서의 수평안진은 최대서상속도가 6°/s로 대칭적이었다. 바로눕기검사에서(Fig. 1-D) 잠복기 없이 반시계 방향의 회선상방안진이 발생하여 자세를 유지하는 동안 지속되었다. 양측으로의 머리회전검사(앙와위회전검사)에서 잠복기 없이 우측으로의 수평안진이 발생하여 15-20초간 지속되었다. 머리충동검사(head impulse test)와 양온도안진검사(bithermal caloric test)는 정상 소견을 보였다. 시운동성안진검사(oculomotor test)에서 수평신속보기운동(horizontal saccade)과 원활추종운동검사(smooth pursuit eye movement)는 정상 소견을 보였다. 환자는 정현파회전검사(sinusoidal harmonic acceleration)에서 정상 이득(gain)과 위상(phase)의 전정안구반사(vestibulo- ocular reflex)를 보였으며, 등속회전검사(step velocity rotations)에서 회전전안진(pre-rotatory nystagmus)과 회전후안진(post-rotatory nystagmus)의 정상 시간상수(time constants)를 보였다. 경부전정유발근전위(cervical vestibular evoked myogenic potentials) 및 안구전정유발근전위(ocular vestibular evoked myogenic potentials)는 정상 파형이 대칭적으로 나타났다. 주관적시수직검사(subjective visual vertical test)는 시행하지 못하였으며, 안저촬영 상 우안의 회선은 저명하지 않았지만 좌안의 외회선이 관찰되었다. 뇌 자기공명영상에서 우측 치아핵 내측 경계의 배쪽 구역에 국소 경색이 확인되었다(Fig. 2). 현기증 증상은 서서히 호전되었으며 1개월 후 외래 진찰에서 환자는 더 이상 어지럼을 호소하지 않았으며 안진도 관찰되지 않았다.
고 찰
저자들은 국소 치아핵 병변을 가진 환자에서 Dix-Hallpike검사상 수평 방향의 중추체위안진과 바로눕기검사 및 head hanging검사상 회선형 상방 중추체위안진을 보인 증례를 경험하였다. 체위현기증(positional vertigo)은 중력 방향에 대한 두부 위치의 변화로 중력수용경로(graviceptive pathway)의 흥분을 일으켜 안진을 나타내며, 말초성 병변에서 흔하지만 중추성 병변에서도 간혹 관찰될 수 있다. 초당 5도 이상의 안진이 특정 두부 위치에서 지속되는데 현기증을 호소하지 않거나 그 정도가 약한 경우, 순수한 수직성이나 회전성의 안진을 보일 경우, 또한 두부 움직임에 의한 반고리관의 자극과 맞지 않는 방향의 안진이 나타날 경우에는 반드시 중추체위안진을 의심해야 한다. 한 번의 두위변환검사에서 안진 및 현기증의 강도에 비해 상대적으로 매우 심한 구토가 나타나는 경우도 의심해 보아야 한다[2]. 본 환자에서는 침상에서 관찰하였을 때 Dix-Hallpike수기 후에 방향변화땅방향 수평안진이 관찰되어 중추체위안진을 의심하였다.
소뇌 치아핵은 4가지의 심부소뇌핵 중 가장 큰 핵으로 소뇌 가쪽에 위치하며, 치아핵의 등쪽 영역은 대뇌피질 운동영역과 연결되어 운동 기능에 관여하고 주로 상소뇌동맥의 공급을 받으며, 배쪽 영역은 피질연합 영역과 연결되어 인지 기능의 조절에 관여하고 주로 후하소뇌동맥의 혈액 공급을 받는다. 치아핵의 원심성 섬유들은 운동신경과 의식적인 생각, 시공간 기능에 관여하는 신경의 조절에 기능하며 수의적 운동을 부드럽고 정확하게 이루어지도록 한다. 따라서 치아핵의 손상은 일반적으로 수의적인 운동 수행에 문제를 일으켜 소뇌실조(cerebellar ataxia), 측정이상, 상반운동반복장애(dysdiadochokinesia), 떨림(tremor) 등을 일으키고 언어 근육계의 협동운동불능(asynergy)으로 말이 느려지고 발음이 어눌해진다.
일반적으로 치아핵은 전정핵과의 연결은 없다고 알려져 있고 치아핵 병변으로 어지럼을 호소한 환자는 드물다. 하지만 치아핵을 침범한 국소 소뇌출혈 환자에서 단독으로 현기증을 호소하며 양성 돌발체위현기증(benign paroxysmal positional vertigo, BPPV)과 비슷한 체위안진이 관찰된 증례는 보고되었으며[3], 안구기울임반응(ocular tilt reaction)을 보인 환자들을 통한 연구에서는 치아핵이 이석에 기초한 수직성의 인식에 중요한 역할을 하며, 소뇌에서 전정 신호를 처리함에 있어 주요한 거점이 될 것으로 추측하고 있다[4]. 중력에 대한 두위 변화가 있을 때 그 정도는 이석기관에 의해 감지되며 이석기관으로부터의 신호는 전정핵, 아래올리브핵(inferior olivary nucleus), 연수가쪽그물핵(medullary lateral reticular nucleus), 소뇌 소절(nodulus)과 배쪽 목젖(ventral uvula), 소뇌핵(cerebellar nuclei)과 안구운동핵(oculomotor nuclei)으로 전달된다[5]. 아래소뇌다리(inferior cerebellar peduncle)를 침범한 국소 경색에서 나타난 중추체위안진의 환자군 연구가 보고된 바 있고[6] 이 때 발생하는 중추체위안진은 소절에서 전정핵으로 가는 경로인 아래소뇌다리의 병변으로 전정핵에 집합하는 불규칙한 구심성 신호에 대해 정상적으로는 억제 상태인 소뇌 소절과 배쪽 목젖의 탈억제로 인해 발생했다고 생각되고 있다. 본 증례에서는 동측으로의 자발안진과 중추체위안진을 보이며 머리충동검사와 양온도안진검사에서는 정상 소견이었던 점이 아래소뇌다리 병변에서 나타나는 일반적 소견과 일치하며, 동측으로 쏠리는 경향이나 반대측으로의 눈회선은 아래소뇌다리 병변을 침범한 일부 환자들에게서 나타난 소견과 일치하였다. 대부분의 아래소뇌다리 병변 환자에서 양측으로의 머리회전검사에서 방향변화하늘방향 수평안진을 보인 것과 달리 소뇌치아핵 내측 부위를 침범한 본 병변에서는 Dix-Hallpike검사에서 방향변화땅방향수평안진을 보인 점에서 차이가 있다. 본 증례에서는 아래소뇌다리의 병변에서와 비슷하게 소절에서 전정핵으로 가는 경로에 병변이 발생하여 중추체위안진이 발생하였다고 생각되나 치아핵 또한 중력수용경로에 중요한 역할을 한다는 이전 연구도 있고[4] 동물 실험에서 소뇌 편엽과 소절로의 핵피질(nucleo-cortical) 경로는 대부분 치아핵의 내측 경계에서 꼭지핵의 외측 경계로 뻗어가는 배쪽 구역에 있는 신경세포 개체들로부터 온다는 연구 결과도 있어[7] 치아핵이 중추체위안진의 발생에 추가적인 역할을 하는지에 대해서는 향후 추가 연구가 필요할 것으로 생각된다.
중추체위안진의 존재는 다른 신경학적 이상의 동반이 없더라도 단독으로 전정기관, 뇌간전정핵, 벌레 내의 정중소뇌구조물 간의 교통망을 포함하는 후두개와 병변에 대한 예측성이 매우 높으므로, 어지럼을 호소하는 환자들에게서 체위변환검사를 체계적으로 시행해야 하며, 체위안진이 특히 흔한 BPPV의 양상과 맞지 않는 점을 보일 때 후두개와 병변에 대해 반드시 고려해야 하겠다.


PDF Links
PubReader
ePub Link
Full text via DOI
Download Citation
Print




