진행하는 뇌압 상승은 두통, 구역, 구토, 안구운동마비, 시신경유두부종 그리고 의식장애의 원인이 될 수 있다[1]. 뇌압 상승을 진단하기 위해서는 요추천자를 통한 뇌압 측정이 필수적이지만 드물게 뇌탈출 등 심각한 합병증이 발생할 수 있다. 따라서, 뇌압 상승을 일으키는 뇌병변을 확인하기 위해 요추천자 전 뇌 영상검사를 시행하는 것이 일반적이다[2]. 그러나 본 증례에서는 뇌압 상승이 의심되는 의식장애 환자에서 요추천자 전 시행한 뇌 영상에서 뇌탈출을 유발할 만한 이상이 없음을 확인하였음에도 불구하고, 요추천자 후 급격히 진행한 뇌탈출을 경험하여 보고한다.
증 례
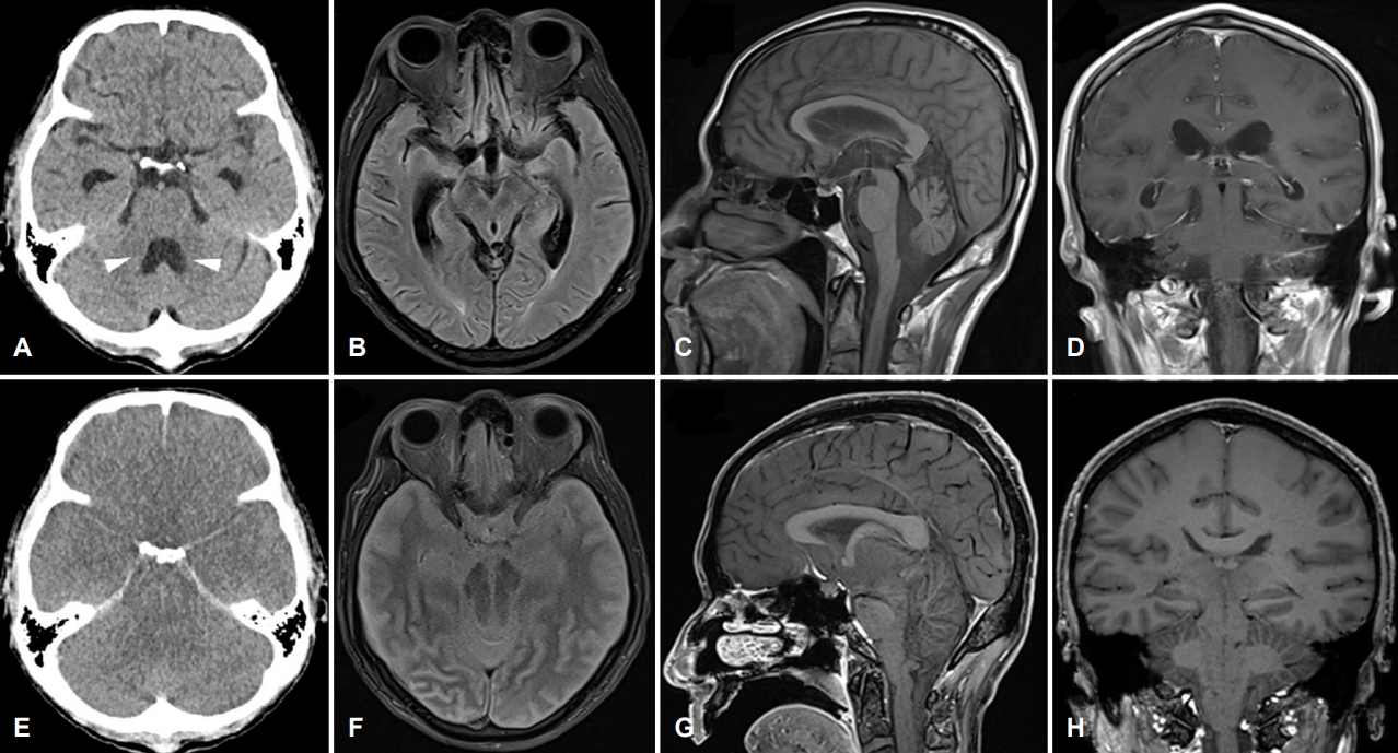
진행성 위암 및 췌장 전이로 항암 치료를 받았던 59세 남자로 최근 식욕 부진, 구역, 두통을 호소하던 중, 7일 전부터 급격히 진행하는 청력저하로 뇌 자기공명영상을 시행하였으나 뇌전이 또는 암종수막염(carcinomatous meningitis)을 시사하는 소견은 관찰되지 않았다. 내원 4일 전부터 시력저하, 3일 전부터 의식저하가 발생하여 응급실에 내원하였고, 호흡부전이 동반되어 있어 기관내삽관을 진행하였다. 응급실에서 시행한 뇌 computed tomography (CT)에서 경도의 뇌실 확장이 의심되는 소견 외에 급격한 뇌압 상승 등 의식장애의 원인은 관찰되지 않았다(Fig. A-D). 초기 신경계진찰에서 의식은 혼수이나 뇌간반사는 유지되었다. 입원 당일 의식장애의 원인을 감별하기 위해 시행한 요추천자 시 분출되어 쏟아지는 양상의 높은 뇌척수압이 관찰되어 검사를 중단하였다. 요추천자 시행 1시간 뒤, 적절히 유지되던 혈압이 64/42로 저하되고, 환자의 자발호흡이 소실되었다. 신경계진찰에서 양쪽 동공이 확대 고정되고, 전정안반사, 각막반사가 소실되었다. 12시간 뒤 시행한 뇌 자기공명영상에서 미만성 대뇌부종 및 허탈된 뇌실(collapsed ventricle), 간뇌와 중뇌의 부종과 중심탈출(central herniation), 전반적인 소뇌부종과 편도탈출(tonsillar herniation) 등이 확인되었다(Fig. F-H). 만니톨 및 11.7% 고장성 식염수를 주입하였으나 호전되지 않았다. 2일 뒤 시행한 뇌 CT에서 미만성 뇌부종 및 중심탈출이 진행하는 양상이 관찰되었다(Fig. E). 요추천자 10일 후 환자는 사망하였다.
고 찰
두개내압이 상승된 상태에서 요추천자를 시행하면, 급격한 뇌척수액 배액으로 두개강 내부와 척수강 사이 또는 천막상부와 천막하부 사이에 압력차가 빠르게 생기면서 뇌탈출이 발생할 수 있다. 이 때문에 의식장애 환자에게 우선 뇌 영상검사를 통해 뇌압 상승가능성을 확인한 뒤 요추천자를 시행하지만, 실제 임상에서 이로 인한 뇌탈출은 매우 드물다[3]. 본 환자와 같은 말기 암 환자에게 발생할 수 있는 뇌압 상승의 원인으로는 뇌전이 자체와 이로 인한 뇌부종, 전이암으로 뇌척수액 순환 통로가 폐쇄되어 생긴 폐쇄수두증, 맥락얼기 전이에 의한 뇌척수액 과다 생산 또는 거미막과립(arachnoid granulations)의 폐색으로 인한 교통수두증 등이 있다[4,5]. 이러한 소견들은 뇌 영상검사를 통해 뇌실의 확장, 뇌부종, 전이부위의 조영증강 등을 통해 확인할 수 있다. 그러나 본 환자에서는 뇌 영상에서 급격한 뇌압 상승을 의심할 수 있는 이상 소견은 관찰되지 않았다. 다만, 임상적으로 두통과 오심이 있던 중, 진행하는 양상의 시력저하, 청력저하, 의식장애를 보였기 때문에 뇌압 상승을 간접적으로 추정할 수 있었고, 뇌 영상검사 후 요추천자를 하기까지의 기간 동안 뇌압 상승이 진행되었을 가능성이 있다.
본 증례 영상의 특징적인 소견은 대뇌 부종의 정도에 비해 심한 뇌실의 허탈이 관찰되는 것과 간뇌(diencephalon)와 중뇌가 소뇌천막 주변에서 심한 부종을 보이는 점이다. 이는 요추천자 당시 빠르게 배액된 뇌척수액으로 인해 급격한 대뇌의 하방전이(shifting)가 발생하고, 이로 인해 순간적으로 간뇌와 중뇌가 천막패임(tentorial notch)의 좁은 공간으로 비집고 들어가면서 압박을 받아 부종이 발생한 것으로 판단된다.
본 증례에서처럼 뇌압 상승의 급성기에는 뇌 영상검사에서 변화가 관찰되지 않을 수 있기 때문에, 비록 정상 소견을 보이더라도 요추천자를 안전하다고 생각해서는 안 된다[3]. 뇌탈출을 예방하기 위해서는 뇌압 상승이 의심되는 환자에게 요추천자를 시행할 때, 가급적이면 얇은 천자 바늘(21-22 guage)을 사용하여 최대한 뇌척수액의 급격한 누출을 줄일 수 있도록 주의해야 한다[6]. 특히, 의식장애의 원인이 뇌압 상승으로 판단될 때는 개방압력(opening pressure)을 주의 깊게 관찰해야 한다. 본 증례와 같이 개방압력이 상당히 높은 경우, 즉각적으로 천자 바늘을 제거하여 뇌척수액의 누출을 최소화해야 한다.6 또한, 요추천자 시행 전이라도 뇌압 상승이 의심되는 경우 두부 거상, 과호흡, 삼투요법 등을 통해 두개내압을 낮추기 위한 시도가 필요하다[7].
본 증례처럼 의식장애 환자의 병력에서 급격히 진행하는 양상의 두통, 구역, 시력저하 등 단기간 내에 빠른 뇌압 상승이 의심될 경우, 뇌 영상검사에서 이상 소견이 없더라도 뇌척수액검사시 뇌탈출의 발생에 대한 주의가 필요하다.


PDF Links
PubReader
ePub Link
Full text via DOI
Download Citation
Print




