뇌수막종은 두개강내에서 발생하는 가장 흔한 양성 종양이며 원발뇌종양의 13-25%에 해당한다[1]. 뇌수막종의 동반 증상은 종양의 위치와 자라는 속도에 좌우되는데 뇌수막종은 매우 천천히 자라기 때문에 많은 경우에 증상이 없이 뇌 영상검사를 시행하다가 발견된다. 특히, 인지기능 저하를 주소로 발현되는 뇌수막종은 매우 드물어서 3.4%의 경우에만 다른 증상들보다 먼저 치매의 증상을 보인다고 보고된 바 있다[2]. 저자들은 언어기능의 저하를 호소하며 내원하여 뇌수막종이 진단된 증례를 보고하고자 한다.
증 례
60세 남자 환자가 적절한 단어가 생각나지 않는다는 이유로 내원하였다. 환자의 증상은 최근 2-3개월 전에 발생하여 서서히 진행하는 경과를 보인다고 하였다. 환자의 직업은 대학교수였고 평소에 사용하던 전문용어들이 잘 떠오르지 않아 ‘그것’, ‘저것’과 같이 대체하여 부르는 일이 자주 발생하여 강의를 하거나 대화를 나누는 데 어려움을 느끼게 되었다. 또한, 말이 느려지고 길게 이어서 말하는 것이 어려워졌다고 한다. 대화 중 착어증을 보여서 ‘볼펜’을 ‘샤프’라고 말하였다가 정정하는 모습을 보였다. 그러나 말을 이해하는 것은 불편함이 없었고, 일상생활 수행에 필요한 전반적인 기억력이나 운동기능에는 문제가 없다고 하였다. 그 외 성격이 변화되거나 길을 찾는 일, 충동 조절 능력 등에서도 변화가 없었다.
고혈압, 당뇨, 고지혈증, 심질환, 흡연 등의 과거력은 없었고 신체검사상 혈압, 맥박, 체온은 모두 정상이었다. 내원 시 신경학적 진찰에서 의식은 명료하였고 뇌신경, 운동기능, 감각기능검사는 모두 정상 소견이었다.
다른 인지기능의 저하에 대한 호소 없이 점차 진행하는 언어기능 저하를 주소로 내원하였고 신경학적 진찰상 근력이나 감각기능에는 이상 소견이 확인되지 않아 원발진행실어증(primary progressive aphasia)의 가능성이 있을 것으로 생각하고 서울신경심리선별종합검사(Seoul Neuropsychological Screening Battery), 한국판프렌차이실어증선별검사(Korean version of Frenchay Aphasia Screening Test, K-FAST), 뇌 영상검사를 시행하였다[3].
환자는 대학원 졸업의 학력으로 한국판간이정신상태검사(Korean Mini-Mental State Examination)는 시간 지남력에서 1점, 계산에서 1점 감점으로 28점이었다. 환자의 언어기능을 알아보기 위하여 시행한 K-FAST에서 이해(comprehenshion) 4점(10점 만점), 표현(expression) 4점(10점 만점), 읽기(reading) 4점(5점 만점), 쓰기(writing) 3점(5점 만점), 총점 15점(30점 만점, 64세 이하 <1%ile)으로 평가되었고 한국판보스턴이름대기검사(Korean-Boston Naming Test)는 40점(0.02%ile)으로 평가되어 환자가 호소하는 증상과는 달리 전실어증(global aphasia)을 시사하는 언어기능의 전반적인 심한 저하가 확인되었다.
그 외, 단축 노인우울척도검사(Short Version of the Geriatric Depression Scale)는 6점으로 우울증은 없었으나 언어 기억력(Seoul Verbal Learning Test)의 즉시회상 5점(<0.01%ile), 지연회상 2점(0.32%ile), 진양성 재인 3점(<0.01%ile), 위양성 재인 0점(81.66%ile)으로 언어 기억력의 저하가 확인되었다. 또한, 전두엽수행기능(frontal executive functions) 검사인 고/노고(go-no go)검사 10점(<5%ile), 연상단어구술검사(Controlled Oral Word Association Test, COWAT)의 글자유창성검사(phonemic total score) 3점(0.03ile), 한국판색단어간섭검사(Korean-Color Word Stroop Test, K-CWST)의 단어 읽기 112점(>15%ile), 색깔 읽기 8점(<0.01%ile)으로 평가되어 심한 전두엽 및 실행 기능의 저하가 동반되어 있었다. 다만, 전두엽수행기능 중 운동지속불능증(motor impersistence), 주먹-손날-손바닥(fist-edge-palm), 양손교차운동검사(alternating hand movement)검사는 정상으로 평가되었다.
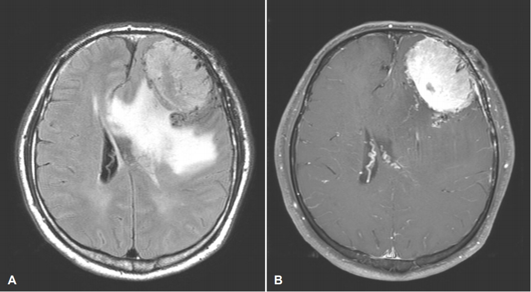
인지기능검사상 전실어증 양상의 언어기능 저하뿐 아니라 전두엽수행기능과 기억력의 저하도 동반되어 있는 상태로 뇌의 구조적 이상을 확인하기 위하여 시행한 뇌 magnetic resonance imaging에서 균일하게 조영증강되고 주변부 심한 부종을 동반한 종괴성 병변이 좌측 전두엽에서 관찰되었다(Fig.). 환자는 뇌수막종에 의하여 유발된 언어기능을 포함한 전반적 인지기능 저하로 진단 후 신경외과에서 수술을 받았다.
고 찰
원발진행실어증은 서서히 발병하여 점차 진행하는 임상 경과를 보이고, 단어의 사용이나 이해에 장애가 발생하지만 기억력, 시공간 개념, 추론 등의 다른 인지기능은 비교적 잘 유지되는 경과를 보이는 것이 특징이다[4]. 초기에는 명칭실어증(anomia)이 공통적으로 나타나는 증상이고, 이후 문법상실증(agrammatism), 단어 이해의 장애 등의 증상이 동반되며, 말기에는 언어의 생산과 이해에 모두 심각한 손상이 발생한다[4]. 증례 환자의 경우 인지기능검사상 심한 기억력 저하가 동반되어 전형적인 원발진행실어증에 부합하지 않아 뇌종양, 뇌혈관질환과 같은 뇌의 구조 이상의 가능성 배제할 수 없는 상태였다.
통상 뇌수막종처럼 천천히 자라는 종양은 빠르게 자라는 종양(i.e., 고등급 신경교종)과 달리 인지기능 저하가 유발되는 경우가 드물다[5]. 이는 뇌의 가소성 때문인데 뇌수막종도 상당한 크기까지 자라게 되면 뇌 조직에 압력을 가함으로써 결국 인지기능 저하를 유발할 수 있는 것으로 알려져 있다[5]. 또, 기존에 우측 기저핵 부위 뇌수막종에 의하여 파킨슨증과 치매증상이 동반된 증례에서 크게 자란 뇌수막종이 기저핵, 흑색선조로를 압박하고 뇌수막종에 동반된 부종으로 인하여 해당 조직의 관류가 저하된 것이 신경계증상 발현의 기전으로 보고된바 있다[6].
전두엽의 뇌수막종은 우울증, 불안증, 경조증, 정신불열증 등의 정신증상을 유발할 수 있는데, 특히 우측보다는 좌측 전두엽에 위치한 종양이 인지기능의 저하를 더 잘 유발하는 것으로 알려져 있고, 두개골 기저부의 뇌수막종 보다는 궁륭부(convexity)에 위치하는 뇌수막종에서 정신증상이 흔하게 유발되는 것으로 보고되었다[7]. 이는 동일한 크기의 뇌수막종이라고 하여도 발생한 위치에 따라 다양한 정신신경계의 증상으로 발현될 수 있음을 시사한다.
상기 환자의 뇌수막종은 좌측 전두엽의 궁륭부 중에서도 외측 전전두피질(lateral prefrontal cortex) 부위에 연해 넓게 위치한 관계로 브로카 영역과 주변부 손상으로 언어기능의 저하, 등쪽 외측 전전두피질의 손상으로 실행기능(executive function)의 저하를 유발한 것으로 볼 수 있다[8]. 또, 뇌수막종이 상당한 크기로 자라면서 광범위한 부종이 동반되어 있으므로 주변부 뇌 조직의 압박과 함께 관류 저하로 인하여 실어증과 기억력 저하, 전두엽실행기능 등의 인지기능에 있어 뚜렷한 기능저하를 보인 것으로 판단된다. 다만, 전두엽실행기능 중 언어기능을 활용한 검사들(COWAT, K-CWST)에 비하여 운동기능을 활용한 검사들(motor impersistence, fist-edge-pam, alternating hand movement)은 정상 결과를 보인 것으로 보아 언어기능의 손상에 의하여 언어 기억력이나 전두엽 및 실행 기능이 실제 기능저하에 비하여 검사 결과가 과장되게 평가되었을 가능성도 배제할 수 없다.
뇌수막종은 매우 천천히 자라는 양성 종양으로 신경계증상을 유발하는 경우는 많지 않다. 그러나 종양의 크기가 커서 주변 뇌 조직에 대한 압박과 부종에 의한 관류 저하를 유발하게 되면 위치에 따라 여러 퇴행치매와 유사한 증상으로 발현될 수 있으므로 신경과 의사들은 치매 환자의 감별진단 시 뇌수막종과 같은 구조적 질환의 가능성을 항상 염두에 두어야 하겠다.


PDF Links
PubReader
ePub Link
Full text via DOI
Download Citation
Print




