Mycoplasma pneumoniae (M. pneumoniae)는 주로 소아에서 호흡기감염을 일으키는 병원체로, 드물게는 중추신경계 또는 말초신경계의 합병증을 동반한다. 신경계 합병증은 호흡기 외 합병증 중 가장 흔한 합병증이나 M. pneumoniae 감염의 약 0.1%에서만 발생된다[1]. 신경학적 이상은 다양한 양상을 보이고, 전체 사망률은 약 10%에 이르며 약 3분의 1에서는 의미 있는 신경학적 결손을 남기게 된다[2]. 저자들은 젊은 여자 환자에서 M. pneumoniae 감염 후 다양한 신경학적 합병증이 점진적으로 발생되었던 증례를 경험하였기에 이를 보고하고자 한다.
증 례
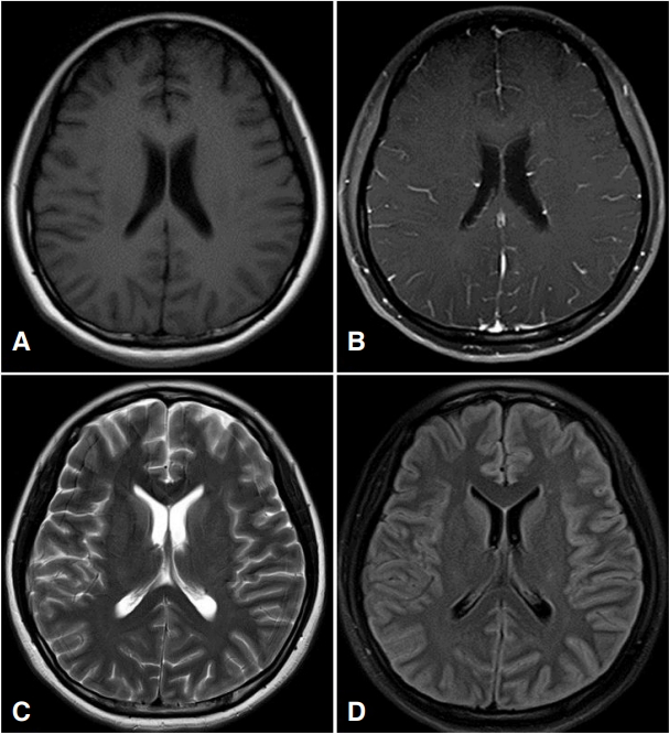
27세 여자가 3일 전부터 시작된 두통 및 발열을 주소로 입원하였다(Fig. 1). 특별한 기저질환은 없었으며, 최근 선행된 호흡기감염의 징후도 없었다. 방문 당시 39℃로 고열이 있었던 점 외에 다른 활력징후는 정상이었다. 내원 당시 촬영한 뇌 전산화단층촬영에서 특이소견은 없었고, 신경학적 진찰에서 의식은 명료하였으나 경부강직이 관찰되어 뇌수막염 의심하에 뇌척수액검사를 하였다. 뇌척수액은 투명하였고, 뇌척수액 압력은 280 mmH2O로 높았으며, 백혈구 120/mm3 (림프구 90%), 단백질 135 mg/dL, 포도당 53 mg/dL (혈청포도당 100 mg/dL)였다. 뇌척수액의 항산균염색은 정상이었고, 균은 배양되지 않았으며, 바이러스 및 결핵균 중합효소연쇄반응검사도 음성이었다. 혈액검사를 통한 항체검사에서 거대세포바이러스, 엡스타인-바바이러스, 단순헤르페스바이러스, 수두포진바이러스에서는 모두 음성이었으나, 입원 4일째 효소면역법(enzymelinked immuno-sorbent assay)검사로 시행한 Mycoplasma에 대한 혈청 immunoglobulin G (IgG)와 IgM 항체 역가가 각각 1:74, 1:3으로 증가된 것을 확인하였다. 이에 azithromycin (zithromax 500 mg)으로 경험적 항생제 치료를 시작하였다. 입원 8일째(azithromycin 투여 4일째), 갑자기 기면(drowsy)과 혼돈(confusion)을 보이고 왼쪽 눈에서 더 심한 양안의 외측 주시마비를 보였다. 이에 시행한 뇌자기공명영상에서 양측 측두엽 피질의 부종이 관찰되었다(Fig. 2). 뇌척수액 추적검사를 시행하였고, 뇌척수액 압력은 200 mmH2O로 감소되었으며 백혈구는 변화가 없었으나 단백질은 220 mg/dL로 상승되었다. 복시가 두개내압 상승으로 인해 유발되었을 가능성을 고려하여 뇌압 및 부종 조절을 목적으로 dexamethasone을 5일간 투여하였고, 혈청검사상 특정 바이러스가 검출되지는 않았으나 임상적으로 바이러스뇌염 가능성이 의심되어 acyclovir를 추가하여 투여하기 시작하였다. 입원 11일째(dexamethasone을 투여한 지 3일째) 의식이 명료해지고 혼돈상태도 호전을 보였다. 입원 18일째, 두통은 남아 있었으나 복시 및 의식혼돈은 모두 호전된 상태로, 연고지의 2차 병원으로 퇴원하였다. 하지만 퇴원 4일 만에 전신강직간대발작을 한 차례 한 후 다시 본원 응급실로 전원되었다. 재입원한 지 3일째 갑자기 양 하지의 근력저하(Medical Research Council grade 2)를 보였고, 배뇨장애가 발생하여 도뇨관을 삽입하였다. 이에 시행한 척추 자기공명영상(whole spine magnetic resonance imaging)에서 척수 전체에 T2 강조 영상에서 신호증강이 관찰되었다(Fig. 3). 영상의학소견과 임상양상으로 횡단성척수염을 의심하여 부신피질호르몬제 15 mg/kg을 5일간 정맥 주사하였으나, 증상의 호전이 없어 60 mg을 경구 투여하면서 면역글로불린 정맥 주사(intravenous immunoglobulin, IVIG)를 시작하여 5일간 유지하였다. IVIG 투여 3일째부터 양 하지의 근위부의 근력 호전을 보이기 시작하였고, 재활 치료를 병행하면서 더욱 호전되어 증상 발생 50일째 걷기가 가능할 정도가 되었으나, 배뇨장애는 호전되지 않아 도뇨관을 유치한 상태로 퇴원하였다. 회복기에 추적검사한 Mycoplasma 혈청 IgG 역가는 1:100 이상으로 상승되었고, IgM 항체 역가는 1:1.4로 감소를 보였다. 10개월이 경과한 후에는 자가 배뇨가 가능하지만 절박 요실금이 남아 있는 상태이다.
고 찰
본 증례는 젊은 여성에서 M. pneumoniae 감염으로 인해 다양한 신경학적 증상이 한꺼번에 발생하였던 증례이다. M. pneumoniae는 다양한 호흡기감염을 빈번히 일으키는 병원체이고, 폐 외 임상 증상들을 동반할 수 있으나[3], 다양한 신경학적 증상이 한번에 나타나는 경우는 매우 드물다. 일반적으로 신경학적 증상의 시작은 의식장애, 경련, 신경마비 및 기타 신경학적 증상이 급성으로 나타나게 되고, 선행되는 호흡기계 증상이 있는 경우는 79% 정도이며, 호흡기계 증상이 있은 후 3일에서 23일 후에 신경학적 합병증의 증상을 보이게 된다[4]. 신경학적 합병증의 발생기전에 대해서는 아직 명확히 밝혀져 있지 않으나 균의 직접적인 침입, 신경 독소나 자가면역기전, 혈관병증 등이 가설로 주장되고 있으며, 신경병리학적으로는 뇌부종, 뇌출혈, 혈관주의 염증, 미세혈전 및 탈수초화가 나타날 수 있다.
본 환자에서는 M. pneumoniae 감염을 시사하는 선행하는 호흡기감염이나 최근의 예방접종력은 없었다. 하지만 지속적으로 추적관찰한 Mycoplasma 혈청 IgG 역가와 IgM 역가의 변화를 보았을때 최근 감염된 상태임을 알 수 있었다. 보고된 바에 의하면 폐렴 없이도 여러 가지 폐 외 소견(extrapulmonary manifestation)이 나타날 수 있는데, 실제로 20%의 중추신경계 증상들에서 M. pneumoniae 감염이 선행되지 않았다[5]. M. pneumoniae의 폐 외 징후의 정확한 병태생리는 아직 밝혀지지 않았으나 세 가지 가능한 기전으로 설명할 수 있는데, (1) 세균에 의해 유도된 국소적 염증성 사이토카인에 의한 직접형, (2) 자가면역 또는 면역복합체형성을 통한 면역조절장애로 인한 간접형, (3) 세균에 의해 직접적 또는 간접적으로 혈관폐색을 일으킨다는 가설이다[6].
직접형은 면역 장벽이 미성숙해서 호흡기 표면으로 폐렴이 생기기에 충분치 않은 경우, 손상된 상피세포 사이의 틈새로 세균이 수동적으로 이동하면서 국소적으로 많은 사이토카인이 생성될 수 있고, 이로 인해서 증상이 발생하거나 혈액내로 이동한 M. pneumoniae가 혈관염과 혈전성 혈관폐색을 일으키는 사이토카인과 케모카인의 생성을 유발시키면서 폐 외 징후를 일으킬 수 있다는 가설이다[6]. 간접형은 세균이 국소적으로 존재하지 않으면서 자가면역 또는 면역복합체에 의해 발생하는 경우로, 순환하는 면역복합체들이 혈청에서 잘 검출된다는 점과 스테로이드나 항생제에 효과가 좋았다는 점이 이 기전을 뒷받침한다[7,8]. 본 환자에서는 두통과 발열을 초기 증상으로 내원하였으나 이후 순차적으로 다양한 신경학적 증상이 나타나면서 뇌염, 척수염, 뇌신경마비가 발병하였다. 초기 두통과 같은 급성기 증상은 직접형의 기전으로 설명될 수 있으나, 선행된 호흡기감염의 징후가 없으며 조기에 항생제를 사용하였음에도 치료에 반응을 보이지 않았던 점은 직접형의 가능성보다는 간접형의 자가면역 또는 면역복합체의 작용으로 설명할 수 있다. 또한 증상악화가 있고 난 후 dexamethasone을 사용하였는데, 사용 후에 증상이 호전되었다는 점도 앞에서 언급한 간접형의 기전을 뒷받침하는 소견이다.
M. pneumoniae 감염 치료에 가장 중요한 점은 원인균에 효과적인 항생제를 쓰는 것이다. Macrolide는 호흡기에 침범된 M. pneumoniae를 줄이면서 항원자극(antigenic stimulation)을 감소시키는 기전으로 작용하는데[6], 최근 일본에서 macrolide 저항성 M. pneumoniae 균주가 확인된 보고가 있었다[9]. 본 환자에서처럼 초기에 azithromycin을 사용하였음에도 불구하고 의식의 악화를 보인 것은 macrolide에 저항성이 있는 균주일 가능성이 있다. 이와 같이 치료에 반응이 없거나 중증 신경학적 이상 증상을 동반하는 경우에는 부신피질호르몬제나 면역글로불린이 도움이 될 수 있다[6].
신경학적 합병증과 관련된 예후인자 중 좋은 예후인자는 선행감염이 있고, 일주일 이내 호전의 시작을 보이는 경우, 10세 미만, 허리엉치 척수부위에 병변이 있는 경우이고, 나쁜 예후인자로는 시작부터 이완된 하지(flaccid leg)가 있거나, 괄약근기능까지 침범한 경우, 증상 발생부터 24시간 이내 급격한 증상 진행을 보이는 경우이다[10]. 본 환자는 성인 여성으로 선행감염이 없고, 증상 발생 첫날부터 20일 동안 다양한 증상이 지속적으로 나타났으며, 경추 부위부터 길게 보이는 척수 병변과, 배뇨장애 그리고 양 하지 위약감이 발생 24시간 이내 급격히 진행하였다는 점에서 예후가 좋지 않을 것을 예상할 수 있었다. 환자는 증상 발생 2달째부터 보행은 가능하였으나 1년이 경과한 현재에도 배뇨장애는 여전히 남아있는 상태이며 지속적으로 재활 치료 중에 있다.
결론적으로, 본 환자는 M. pneumoniae로 인한 신경계 합병증이 다양한 증상으로 동시에 발생한 증례이다. M. pneumoniae는 선행되는 폐렴이나 호흡기감염의 병력이 없더라도, 특히 소아나 젊은 성인에서 여러 가지 신경계 합병증을 보이는 경우 감별진단으로 고려되어야 할 것이며, 치료에도 불구하고 증상경과의 악화를 보일 경우 한 가지 기전뿐 아니라 여러 기전을 고려하여 그 기전에 맞는 적절한 치료를 선택해야 할 것으로 생각한다.


PDF Links
PubReader
ePub Link
Full text via DOI
Download Citation
Print




